Что такое Пейеровы бляшки?

БАД. НЕ ЯВЛЯЕТСЯ ЛЕКАРСТВЕННЫМ СРЕДСТВОМ
Телохранители нашего здоровья. Знаете кто это? Пейеровы бляшки!
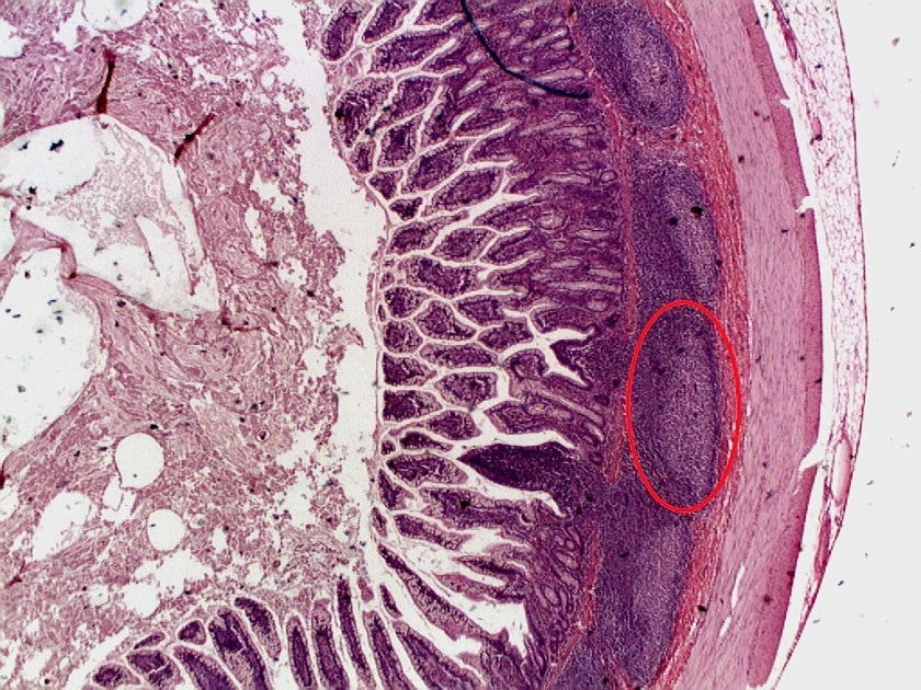
70% иммунных клеток располагается в нашем кишечнике. Источником иммунной реакции и являются Пейеровы бляшки! Пейеровы бляшки - это иммунные ткани, которые располагаются в нижнем отделе тонкого кишечника, а еще - в аппендиксе. Внешне - это скопления лимфоидных узелков, которые находятся между ворсинками тонкого кишечника. Сверху они покрыты тонкой слизистой оболочкой, которая поглощает патогены целиком. На внешнем слое Пейеровых бляшек располагаются М-клетки. Они то и захватывают и поглощают патогенные бактерии! И знаете, кто их лучший друг? Кишечные бактерии! Более 100 миллионов кишечных бактерий 200 видов соединяются в пары с иммунными клетками для защиты организма от внешних врагов. У еще нерожденного ребенка в третьем триместре беременности в среднем 59 таких бляшек, у подростка - 239, после 30 лет их количество естественным образом сокращается до 30-40 шт. Поэтому от поддержания их работоспособности напрямую зависит, как часто мы будем болеть в зрелом и старшем возрасте. Как укрепить иммунитет? Увеличить видовое разнообразие и количество кишечных бактерий. С этим отлично справляется спорт (пост про взаимосвязь опубликовали сегодня утром) и правильное питание!
Функции кишечника поддерживаются через взаимоконтроль иммунной системы и кишечных бактерий! Вот почему мы всегда говорим об их прямой связи.
70% иммунных клеток располагается в нашем кишечнике. Источником иммунной реакции и являются Пейеровы бляшки! Пейеровы бляшки - это иммунные ткани, которые располагаются в нижнем отделе тонкого кишечника, а еще - в аппендиксе. Внешне - это скопления лимфоидных узелков, которые находятся между ворсинками тонкого кишечника. Сверху они покрыты тонкой слизистой оболочкой, которая поглощает патогены целиком. На внешнем слое Пейеровых бляшек располагаются М-клетки. Они то и захватывают и поглощают патогенные бактерии! И знаете, кто их лучший друг? Кишечные бактерии! Более 100 миллионов кишечных бактерий 200 видов соединяются в пары с иммунными клетками для защиты организма от внешних врагов. У еще нерожденного ребенка в третьем триместре беременности в среднем 59 таких бляшек, у подростка - 239, после 30 лет их количество естественным образом сокращается до 30-40 шт. Поэтому от поддержания их работоспособности напрямую зависит, как часто мы будем болеть в зрелом и старшем возрасте. Как укрепить иммунитет? Увеличить видовое разнообразие и количество кишечных бактерий. С этим отлично справляется спорт (пост про взаимосвязь опубликовали сегодня утром) и правильное питание!
- Давайте организму физ.нагрузки
- Кушайте крупы, овощи, бобовые и фрукты
- Ферментированные продукты
- Принимайте экстракт брожения молочнокислых бактерий Дайго
Функции кишечника поддерживаются через взаимоконтроль иммунной системы и кишечных бактерий! Вот почему мы всегда говорим об их прямой связи.
Данная публикация носит информационный характер. Указанные эффекты основаны на данных исследований, но не являются утверждением о лечении заболеваний. Биологически активные добавки не являются лекарственными средствами.
Топ 5 популярных статей
Часто задаваемые вопросы
Понравилась статья?
Поделитесь статьёй с друзьями в социальных сетях


Комментарии
0